BEFORE

AFTER

Root Canals

Root canal therapy is a crucial procedure designed to rescue a tooth suffering from deep infection, chronic inflammation, or extensive decay in its inner pulp. By meticulously removing the infected pulp, disinfecting the area, and sealing it, a root canal can alleviate the pain and discomfort while rescuing the natural tooth. Root canal therapy helps you save your natural tooth, preventing the need for extraction, and allowing you to maintain a healthy smile.

 

Examples of recontamination

Root Canal Retreatment

A root canal retreatment is a specialized procedure for a tooth that previously underwent root canal therapy that still exhibits signs of infection or persistent discomfort. During this procedure, the tooth's previous filling material is removed, and the canals are carefully cleaned, disinfected, and sealed. Root canal retreatment aims to address lingering problems, find and clean any previously missed canals/roots in the tooth, ensure your tooth's health, and save it from extraction.

 

Apicoectomy

An apicoectomy, also known as apical endodontic surgery, is a targeted procedure performed to address infections or complications persisting after a root canal treatment. In this surgery, the tip of the tooth's root is removed, treated, and sealed to prevent future issues. Apicoectomy targets specific problems and aims to save the tooth, offering relief from infection and preserving your oral well-being.

 

Vital Pulp Therapy

Vital pulp therapy, also known as pulp capping, is a procedure performed when a tooth's pulp becomes exposed due to injury or decay. By applying a medicated material onto the exposed area, this treatment stimulates healing and safeguards the pulp's vitality possibly preventing a root canal. Vital pulp therapy rescues a damaged tooth, prevents the need for more invasive interventions, and maintains the natural function of your smile.

 

Intentional Reimplantation

Intentional reimplantation is done when a tooth cannot be treated with a retreatment or surgery due to anatomical complexities or other challenges. During this process, the tooth is carefully removed, then the infected portion of the root sectioned off. The tooth is then resealed and then placed back in its original position. Intentional reimplantation is also done when a root fracture is suspected as a way to visualize the crack and possible salvage the tooth in case the crack is small or turns out to not be present.

 

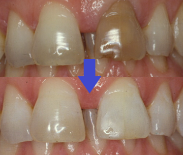
Internal Bleaching

Internal bleaching is a cosmetic procedure that can help to whiten teeth that have had a root canal. This procedure involves applying a bleaching agent within the tooth to lighten the discolored area, resulting in a more uniform and pleasing smile. Internal bleaching is a conservative way to whiten a front tooth without needing to crown the front tooth. Please note that not every tooth will need internal bleaching and that this treatment is more typical with teeth that had trauma before the root canal. This is a great treatment for patients who are self-conscious about their smile from a stained root canal treated tooth and can provide a real confidence boost to their smile.

 

Nitrous Oxide and AR Glasses

Nitrous oxide, often referred to as "laughing gas," is a safe and effective sedative used to ease dental anxiety and enhance patient comfort during various procedures. Our virtual reality glasses allow our patients to watch a movie or their favorite TV show to help pass the time during their visit. Together nitrous oxide and our AR glasses help to ensure a relaxed and stress-free experience, making dental visits more comfortable and manageable.

 

Each of these endodontic procedures plays a unique role in ensuring the dental health, comfort, and aesthetic satisfaction of the patient. By understanding all the possible treatments, the patient can better make informed choices about their dental care, and we can treat the tooth in a way that better works for everyone involved (dentist, endodontist, and patient) with the treatment.